El alfavirus chikungunya (chikv) es un arbovirus perteneciente a la familia Togaviridae. La enfermedad causada por este generalmente se resuelve espontáneamente en pocas semanas; no obstante, también puede progresar a una enfermedad crónica. Los síntomas más comunes son fiebre, mialgia y artralgia; sin embargo, entre el 40 % y el 80 % de las personas infectadas pueden presentar manifestaciones cutáneas.
Se han descrito erupciones eritematosas morbiliformes y maculopapulares, lesiones vesiculoampollosas, eritema generalizado, erupción maculopapular y descamación cutánea, hipermelanosis, lesiones orales dolorosas y lesiones urticariales. Generalmente, estas manifestaciones desaparecen, pero pueden convertirse en secuelas.
Dado que la piel es la primera línea de defensa contra la infección por chikv, el objetivo en este estudio fue investigar los aspectos inmunohistopatológicos de la piel de individuos infectados durante la fase aguda de la enfermedad mediante la realización de análisis histopatológicos y ultraestructurales, detección y cuantificación del genoma viral, detección de antígeno viral y células inmunes, y caracterización de citocinas/quimiocinas.
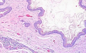
Los principales hallazgos histopatológicos fueron infiltrados perivasculares e inflamatorios, ectasia capilar sanguínea y edema intersticial. La inmunohistoquímica reveló la presencia de antígeno chikv en la epidermis, células endoteliales, fibroblastos y macrófagos en la dermis reticular y papilar; infiltrado de células inflamatorias; músculo erector del pelo; glándulas sudoríparas y sebáceas; y folículo piloso.
Además, los infiltrados inflamatorios estaban compuestos por linfocitos (CD4+ y CD8+) y macrófagos (CD68+) en la dermis y el infiltrado perivascular. Se expresaron TNF-α, IL-6, RANTES y VEGFR2 en la epidermis, los vasos sanguíneos, las glándulas sudoríparas y las células migratorias.
Mediante microscopía electrónica se observó pérdida de contacto entre queratinocitos adyacentes, células necróticas en la epidermis y fibroblastos con cisternas dilatadas en el retículo endoplasmático y mitocondrias con escasas crestas. Los estudios sobre la inmunopatogénesis cutánea durante la infección por chikv aún son escasos; por lo tanto, los hallazgos aquí presentados pueden contribuir a una mejor comprensión de la inmunopatogénesis de la enfermedad.
Lea el texto completo en:


